Root canal therapy, also known as endodontic therapy, is a dental treatment for removing infection from inside a tooth. It can also protect the tooth from future infections.
It is carried out in the pulp of the tooth, which is the root canal.
There are a variety of treatments for gum disease depending on the stage of disease, how you may have responded to earlier treatments, and your overall health. Treatments range from nonsurgical therapies that control bacterial growth to surgery to restore supportive tissues.
Non-surgical Treatments for Gum Disease
Surgical Treatments for Gum Disease
Flap surgery or Gigivectomy involves the removal of excessive gum tissue to make them appear longer, and create an aesthetically even gum-line. People with a ''Gummy Smile'' or a ''Long Tooth Smile'' (excess gum covering the and an upper lip that comes up high when smiling) or an uneven gum-line (which teeth appear to have different lengths) can benefit from this surgery.
The surgical removal of dental roots is a dental procedure performed following a simple tooth extraction, where the whole tooth was not completely removed, and the root remains lodged in the underlying bone.
Tooth extraction is one of the most common dental procedures and is usually considered when the tooth is determined to be beyond restoration due to disease, crowding, or trauma. In most cases, it is a pretty straightforward process performed in an outpatient or clinic setting. However, there are instances in which the tooth breaks off before or during the extraction process, making it difficult for the dentist to remove all the tooth fragments, especially the roots buried below the gum line.
There are typically four roots in each tooth, functioning as anchors that hold the tooth in place. They are embedded in the bone and make up the bigger part of the tooth. Because of their function, it is quite difficult to extract the dental roots, especially if the crown is heavily fragmented and broken. This condition would necessitate a more complex process of surgically removing dental roots. The residual root often causes pain and promotes the development of infection if left unattended.
After years of eating, smoking, drinking coffee or teas, teeth can lose their brilliance and become stained.We offer the latest procedures and products for teeth whitening available.Visit us and discover about all the possible options and costs.Numerous over-the-counter tooth whitening products are now available, but dentist supervised whitening remains the safest and most effective method to whiten your teeth.
Very popular procedure, will whiten most natural looking teeth shades. This system uses Carbamide Peroxide gels to oxidize stains. Teeth are professionally cleaned first. An impression mold is taken to fabricate a set of mouth tray. The resulting custom-fitted mouth tray is then used at home to hold whitening gel bleach applied to the teeth surface. Best results are achieved after usage for 5 to 10 days.
This procedure is the most effective way to dramatically improve the appearance of your smile and boost your self-confidence both aesthetically and functionally.Crowning is required when the structural integrity of a tooth has been weekend by decay, cracks, fractures, old fillings or root canal treatments.Porcelain / Ceramic Crowns can make crooked teeth appear straight and can make uneven teeth.Correct broken or fractured teeth, gaps and spaces between teeth, unsightly old fillings, and whitening of yellow, discolored or permanently stained teeth.They provide improved strength, chewing power, and great aesthetic appearance to match the rest of your teeth.Porcelain crowns can be precisely matched to the colour and contour of your teeth to give you a healthy, natural and beautiful smile.Porcelain crowns can last for a lifetime with minimal maintenance.
It is required for replacing missing teeth and to realign a bite to a better position. Porcelain/Ceramic bridges attach discreetly to the teeth surrounding the gap, and they hold new crowns in place.The result is improved function and aesthetic appearance.
This procedure is more conservative yet a highly effective way to dramatically improve the appearance of your smile and boost your self-confidence.This is one of the quickest and most dramatic way to renovate your smile, but can be used for minor repairs only, compared to a full crown.Veneers can make crooked teeth appear straight, and can make uneven teeth match up; correct gaps and spaces between teeth, unsightly old fittings, and whiten yellow, discolored or permanently stained teeth. Porcelain Veneers are thin, semi-transparent, natural-looking sheets of porcelain, which are bonded over the surface of the teeth. Composite Veneer is constructed from composite material, which costs less than Porcelain.
This simple, quick and easy procedure can produce brilliant results. This procedure does not require any of your original tooth to be removed. We use a choice of very high grade composite material to fix cracks, chips and stains as well as to fill in unwanted gaps between the teeth called diastemas.This is an excellent method for repairing minor imperfections on the anterior or front teeth.
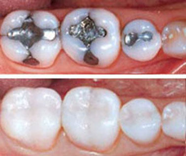
Today’s dental fillings are much more advanced than the typical Amalgum fillings. We use Tooth-Colored Restorations / Mercury Free Fillings that are bio-compatable and color matched to the rest of your teeth.If your teeth are damaged or decayed, tooth-colored restorations may be the perfect choice. These Fillings are strong and long-lasting, and they look very natural. We can match our white fillings to the exact original color of your teeth. This procedures saves time and money.
A great deal for your smile can be accomplished through small changes. A small defect in your smile such as - chip in a front tooth, some worn edges, or grooves in the tooth enamel, a minor fracture or overlap can be corrected by this simple procedure.This involves removing small amounts of surface enamel (1 to 2 mm) of one or more teeth to compensate for the imperfections; followed up with a smoothing and polishing of all the surrounding teeth. This quick, painless, and inexpensive procedure can make a big difference in your smile. The goal of tooth contouring and re-shaping is to change the size or shape of the teeth so that slightly damaged or our of proportion teeth are brought back into alignment with the rest of the dentition.

Mouthguards are flexible plastic appliances worn to protect the teeth, lips, cheeks tongue and jaw.They are used during activities that can damage the teeth, most often during contact sports.CONTACT SPORTS, mouthguards should be an essential component in most physical activities.Mouthguards worn during physical activity can prevent jaw fractures, tooth fracture concussions, cerebral hemorrhaging, laceration or bruising of the lips or cheeks and all sorts of dental trauma.
NIGHTGUARDS - are specially designed mouthguards made for the whole mouth, or just part of the mouth. They are worn to protect the teeth from GRINDING (BRUXISM)or CLENCHING of the jaw while sleeping. It can also help to relieve sore jaws, worn teeth, headaches and neck aches. It also prevents your teeth from wearing down or fracturing due to grinding. usually a spacer is attached to keep the rest of your teeth from touching.
The very best dental treatment I have ever had! A million thanks to Dr. Sunil and family.
Theresa Dechambenoit, West Africa
Thank you for such a wonderful treatment and also for your kindness and greatnes - very much appreciated. Thanks also for treating my mom so wonderfully - Be besed always.
Malik Dechambenoit, Canada
Dr. Sunil has been my primary dentist for the past 5yrs. He is extremely skilled with sensitive care. He is efficient in treatment application. I am well satisfied with his care.
Moses Balasingham, Canada
Dr. Sunil is top professional of the dentists! We are extremely thankful for his work, attitude, honesty. He is real talent. Thanks a lot, we shall refer.
Viacheslav Russia